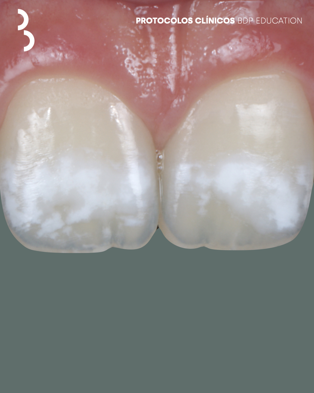
Lesões de Mancha Branca - Diagnóstico, Infiltração, Microabrasão e Macroabrasão

As lesões de mancha branca representam diferentes estágios de alteração estrutural do esmalte, exigindo uma abordagem clínica baseada no diagnóstico preciso e na correta avaliação da atividade e profundidade da lesão. A escolha da estratégia terapêutica deve respeitar o princípio da intervenção mínima, privilegiando soluções conservadoras sempre que possível.

Este protocolo clínico estabelece um enquadramento sistemático que integra o diagnóstico clínico com as opções terapêuticas disponíveis, nomeadamente a infiltração resinosa, a microabrasão e a macroabrasão. São definidos critérios claros para a seleção de cada abordagem, tendo em conta a localização, profundidade da lesão, grau de desmineralização, impacto estético e contexto clínico do paciente.

O documento aborda a infiltração como técnica de controlo e mascaramento de lesões subsuperficiais, a microabrasão como opção para alterações superficiais do esmalte e a macroabrasão como abordagem indicada em lesões mais profundas ou estruturais, sempre integrada num plano restaurador coerente. É dada especial atenção à preservação da estrutura dentária, ao controlo biológico e à previsibilidade estética.

Este protocolo privilegia uma filosofia biomimética e conservadora, orientando o clínico na tomada de decisão racional e sequencial, evitando tratamentos excessivos e promovendo resultados funcionais e estéticos duradouros.

150.00 €